Teen Expansion

Teen Expansion for Space, Bite, and Stability

Teen expansion focuses on creating enough arch width for adult teeth, improving bite fit, and reducing crowding pressure while growth is still clinically useful.

Some teens also have breathing or posture-related concerns, but many simply do not have enough room for erupting permanent teeth. Expansion helps us build space before deciding on alignment mechanics.

Teen Planning

How Teen Expansion Differs

Compared with younger patients, teens may have less skeletal flexibility, so appliance selection and sequencing become more important. Dr. Yu evaluates crowding pattern, eruption stage, and skeletal response potential before deciding protocol.

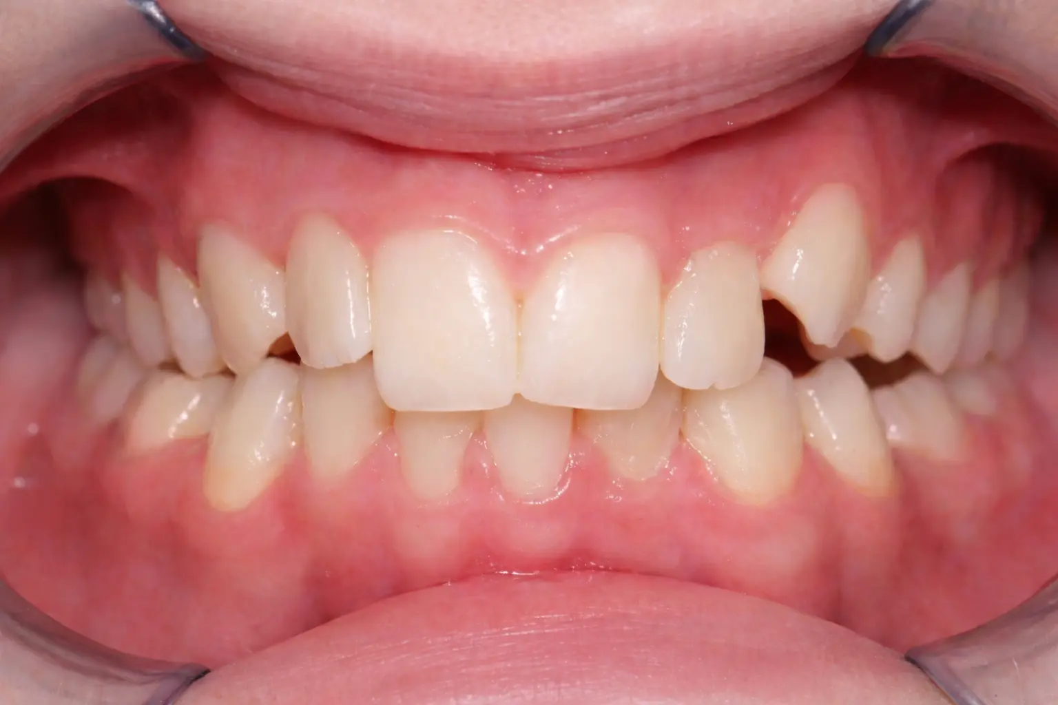
Space Deficiency

Teen crowding and limited space for erupting teeth

Many teens do not have enough transverse or arch-length space for erupted permanent teeth, creating rotation, overlap, and blocked eruption.

Bite Coordination

Teen crossbite showing bite coordination mismatch

Expansion can help correct crossbite tendencies and improve upper-lower arch coordination before alignment mechanics begin.

Avoid Extraction

Illustration representing avoiding extraction planning

In selected cases, expansion-first sequencing can reduce pressure toward extraction planning by creating usable space earlier.

Even when crowding is the main reason families seek treatment, airway-related patterns may still affect sleep quality, comfort, focus, and daily performance; the common signs we screen for are listed below.

Snoring or noisy sleep
Restless sleep and frequent waking
Daytime fatigue or low energy
Mouth breathing during day or sleep
Morning headaches or jaw tension
Clenching or grinding habits
Why Timing Matters

Timing Still Matters in the Teen Years

Teens are more skeletally mature than younger children, but many still respond well to expansion when treatment is carefully staged. This helps us select the right appliance and activation protocol based on maturity, eruption timing, and bite pattern while coordinating stabilization and alignment sequencing for more predictable long-term results.

Even after early facial growth has slowed, adolescents can still benefit from orthodontic treatment, myofunctional therapy, multidisciplinary support, and targeted lifestyle changes, especially healthier breathing habits, to improve airway function and overall treatment outcomes.

Two smiling teens, one with braces

When Timed Well in Teens, Expansion May Help

  • Create additional space for crowded adult teeth
  • Improve bite coordination and crossbite correction
  • Reduce chance of extraction in selected cases
  • Support eruption paths for canines and premolars
  • Create a stronger foundation for braces or aligners
  • Improve long-term stability after alignment
Appliance Options

Teen Expansion Appliances

We customize appliance selection based on skeletal maturity, dentition eruption, and correction goals. These are the primary appliance pathways used for teen expansion planning.

Removable Expanders (Upper / Lower)

Upper and lower removable expanders

Used in selected mild to moderate teen cases when controlled space gain is needed and wear compliance is dependable.

  • Upper and lower designs can be staged based on bite goals
  • Removable format supports easier brushing and cleaning

Fixed Expanders (Upper / Lower)

Upper and lower fixed expanders

Used when stronger, more consistent force delivery is needed for transverse correction, crossbite improvement, or larger space requirements.

  • Bonded design allows predictable activation control
  • Often selected for more significant width deficiency
Bone Supported Expander appliance photo

Bone Supported Expander (also known as MARPE/MSE)

Bone Supported Expander is a miniscrew-assisted expansion method that delivers force closer to the skeletal foundation of the palate, not just through the teeth. In selected teen cases, this gives a more controlled way to develop upper-jaw width before detailed alignment.

What Is the Palatal Suture?

The midpalatal suture is the seam between the right and left sides of the upper jaw. In younger children it is more flexible, but in teens it becomes progressively more interlocked. That is why selected teen cases may need bone-supported expansion to direct force to the suture more predictably.

Diagram of the palatal suture along the midline of the upper palate

Why the Midpalatal Suture Matters

As teens become more skeletally mature, the midpalatal suture becomes less flexible and may not respond predictably to tooth-borne force alone. Bone-supported anchorage helps direct expansion force toward the suture and supporting bone where we want orthopedic change.

  • Targets transverse correction with stronger skeletal support
  • Reduces reliance on dental tipping as the primary mechanism
  • Can improve tongue space and airway-related width in selected cases

Why Bone Supported Expansion Is Chosen in Selected Teens

  • More predictable for moderate-to-severe transverse deficiency
  • Useful when teen skeletal response is reduced versus younger children
  • May improve nasal breathing support in selected teens when maxillary width is a contributing factor
  • Helps create space while reducing extraction pressure in selected cases
  • When airway obstruction patterns and symptoms point to a more skeletal width issue, Dr. Yu may recommend this approach over standard expanders
Before and after expansion views for bone supported treatment pathway

Two Common Treatment Pathways

In most teen cases, Dr. Yu uses one of these sequencing pathways based on skeletal maturity, eruption timing, and bite goals:

  1. Bone Supported Expander with Lower Expander
  2. Bone Supported Expander with Aligners

Final treatment direction is determined during consultation after complete clinical exam and imaging review.

Procedure Overview

What to Expect During Placement

  1. Planning and candidacy: During consultation, we review symptoms, bite findings, and Dr. Yu's clinical exam, then use CBCT imaging when indicated to confirm whether bone-supported expansion is the right fit. If you already have a CBCT or choose to take one, Dr. Yu reviews it carefully before finalizing the treatment plan.
  2. Ordering and fabrication timeline: After records are finalized, planning and appliance fabrication typically take 3+ weeks. This includes case design, lab manufacturing, and coordinating your placement visit so components are ready and sequenced correctly.
  3. Preparation before placement day: Usually there is minimal prep, but we recommend scheduling on a Thursday or after school hours and keeping the first day or two lighter with fewer activities. We also recommend a water flosser for daily cleaning during treatment. Our team will provide detailed instructions and ongoing support throughout the process.
  4. Start appointment (placement): Bone Supported Expander placement is typically performed with local anesthetic numbing injections so teens are comfortable during mini-screw placement. Most patients feel pressure more than pain during the procedure.
  5. Early post-procedure expectations: Moderate to severe soreness or pressure can occur in the first several hours after numbing wears off, with tenderness and sensitivity possible over the next few days. This is usually manageable with over-the-counter pain medication, soft foods, hydration, rest, and avoiding spicy, acidic, or irritating foods during early recovery.
  6. Activation and monitoring: We prescribe a turning schedule, monitor early suture response, and adjust next steps based on progress checks.
  7. Follow-up appointments: Regular follow-up visits are scheduled to track expansion progress, confirm appliance stability, review comfort and hygiene, and make timing adjustments when needed.
  8. Support options for special cases: When indicated, we coordinate with oral surgeons for added placement support using nitrous oxide (laughing gas) or sedation-based care. These options can be discussed and arranged before the start phase.
After Expansion

Transition into Alignment

After expansion goals are reached, most teens transition into alignment with either braces or aligners. Dr. Yu determines the timing based on eruption completion, bite response to expansion, and the level of control needed to finish tooth position and bite fit efficiently.

Braces and aligners side-by-side visual for teen alignment options
Mandibular advancement bite-jump appliance visual

Mandibular Growth Guidance in Selected Teens

When the lower jaw (mandible) is positioned posteriorly relative to the upper jaw, selected teens may benefit from growth-guidance mechanics while meaningful growth potential remains. This relationship can influence overjet, facial profile balance, bite function, and long-term stability, so lower-jaw position is evaluated alongside eruption stage and growth timing before a treatment protocol is selected.

Dr. Yu portrait
Teen Expansion Consultation

Determine the Right Plan of Action for Teen Expansion

Consultation is where Dr. Yu determines the best pathway for your teen, including whether removable, fixed, or Bone Supported expansion is most appropriate and whether sequencing should pair with lower expansion or aligner staging.

You will leave with a clear roadmap that outlines appliance choice, activation pacing, progress checkpoints, and timing for transition into full alignment.

  • Confirm skeletal maturity, suture response potential, and eruption stage
  • Select the appliance and sequencing pathway for bite goals
  • Set activation cadence and photo/checkpoint follow-up milestones
  • Map expansion-to-alignment timing for stable long-term finish

Call or text: 805-374-9377