Expansion

Adult Expansion

Adult expansion planning is focused on creating usable arch space, improving transverse bite fit, and reducing crowding pressure in a more skeletally mature stage. Protocol selection is based on bone response potential, dental compensation pattern, and long-term stability goals.

  • Create space for alignment in selected non-extraction pathways.
  • Improve maxillary width relationships and bite coordination.
  • Plan expansion and finishing sequence with stability in mind.
Group of adult patients smiling
Imaging and diagram reference of the midpalatal suture Illustration of the midpalatal suture along the palate
Suture

Why the Midpalatal Suture Matters in Adults

The midpalatal suture is the seam that joins the right and left halves of the upper jaw and plays a major role in how the upper arch responds to expansion. In adults, this area is usually more interlocked, denser, and more resistant than it is in younger patients, which means conventional tooth-borne expansion may produce more dental tipping and less true skeletal widening. Because adult skeletal anatomy is more mature, selected cases may require MARPE to direct force more effectively toward the suture and supporting bone, improving the potential for meaningful transverse correction and more stable width development.

  • History of prior extractions with remaining arch-width limitation.
  • Narrow maxillary form with insufficient functional tongue space.
  • Crowding relapse despite prior orthodontic treatment.
  • Crossbite or transverse mismatch requiring more skeletal correction support.
Appliance Options

Tooth-Borne vs Bone Supported Expansion

Adult expansion is typically planned through two pathways: tooth-borne expansion and bone-supported expansion. Protocol selection is based on patient symptoms, treatment goals, anatomy, and preference.

Tooth-Borne Expander

U/L Removable Expanders

Tooth-borne removable expanders apply controlled transverse forces through the dentition and are used in selected adult cases where dental expansion mechanics can meet the treatment objective.

This pathway is often considered when mild width development is needed and when the biomechanics can be managed without relying on a primarily skeletal expansion strategy.

  • Removable format supports staged activation and hygiene access.
  • Useful for selected dental-arch expansion goals.
  • Can be integrated with planned transition into aligners or braces.
Dental models and coronal X-ray showing tooth-borne expansion with outward tipping instead of true skeletal widening
Upper and lower removable expander appliances
As shown in the image on the left, a tooth-borne expander can create a wider palate and more tongue space, but the X-ray demonstrates that much of this change is achieved by pushing the teeth outward rather than producing true skeletal expansion.
Bone Supported Expander (MARPE)

TADs for Adult Skeletal Expansion Support

MARPE expansion progress over time

When stronger skeletal support is needed to address transverse deficiency with less dependence on dental tipping alone, temporary anchorage-based expansion can help direct force more effectively to the supporting bone. This approach is especially relevant when the clinical goal extends beyond simple tooth movement.

Adult candidates often include patients with prior extraction history from earlier orthodontic treatment, limited tongue space, persistent maxillary constriction, or relapse patterns tied to inadequate transverse width.

  • Targets transverse correction with stronger skeletal engagement.
  • Improve tongue-space & Nasal breathing
  • Supports broader planning when crowding and airway-related patterns overlap.
Our Approach

Traditional MARPE vs How We Treat at Face Focused

Our office commonly coordinates skeletal expansion together with aligner based tooth movement rather than waiting until expansion is fully complete before addressing dental alignment. This approach allows arch development and tooth coordination to occur simultaneously, so the teeth can be guided into position as the maxillary width is changing.

In certain situations, braces may also be used instead of aligners. This typically applies to specific clinical scenarios and can be discussed with Dr. Yu during the treatment planning process.

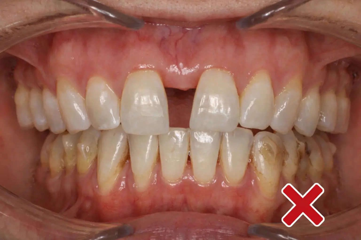
Traditional MARPE gap between front teeth during expansion

How Traditional MARPE works:

In a traditional MARPE workflow, skeletal expansion is typically completed before detailed alignment begins. As the midpalatal suture separates, a visible space may develop between the upper central incisors during active expansion, with orthodontic alignment sequenced afterward to close and coordinate that space.

By sequencing treatment this way, the space that opens between the front teeth is often managed more actively than it is in a traditional expansion-first workflow. The goal is to support skeletal correction while keeping the dental response more controlled, improving arch coordination as expansion progresses, and reducing the need for a separate large-gap phase before alignment begins.

  • Expansion and tooth movement are planned together rather than treated as completely separate phases, and rubber bands can be used when needed to help coordinate the bite.
  • Aligner staging helps guide incisor position and arch coordination during active width development.
  • In selected cases, a facemask can also be used to support airway-related benefits as part of the overall treatment plan.
  • Progress checks are used to adjust sequencing based on response, comfort, and stability goals.
Additional Procedure

When Surgical Assistance May Be Needed

In selected adults, suture maturity and skeletal resistance may limit expansion response with appliance activation alone. When indicated, a surgically assisted approach can be incorporated to support predictable transverse correction. We work with a network of oral surgeons and periodontists to coordinate these procedures when they are part of the treatment plan.

Procedure Options We May Coordinate

MIND illustration showing controlled cuts, widened airway space, and palate expansion changes

MIND

MIND is a minimally invasive corticotomy assisted procedure that may be considered in selected adult patients when skeletal resistance limits the response to appliance based expansion, using several small corticotomy cuts to reduce resistance and stimulate localized bone remodeling when appliance based expansion alone may be insufficient but a more extensive surgical procedure is not necessary.

Realistic medical illustration of SFOT treatment showing tissue grafting and healing stages

Content warning: this is a realistic medical illustration showing blood and healing tissue during SFOT treatment. Select the button only if you want to view it.

SFOT

SFOT, or surgically facilitated orthodontic therapy, is a procedure that combines selective corticotomies with bone grafting to increase volume of the alveolar bone surrounding the teeth. The goal is to expand the biologic limits of tooth movement by augmenting the supporting bone and stimulating a temporary regional acceleratory response that can allow teeth to move more efficiently during orthodontic treatment.

MSDO appliance photos showing a mandibular distraction device

MSDO

MSDO, or mandibular symphyseal distraction osteogenesis, is used when lower-jaw widening is needed. The procedure creates a controlled separation at the mandibular midline and widens the arch as new bone forms during distraction, typically when the mandibular arch is narrow and orthodontic expansion alone would be limited to dental tipping rather than stable skeletal expansion.

How These Cases Are Typically Sequenced

1. Candidacy Review

Clinical exam and imaging are used to evaluate suture maturity, skeletal resistance, periodontal support, and whether a coordinated surgical procedure is likely to improve the predictability of expansion.

2. Coordinated Planning

If one of these procedures is indicated, we coordinate planning with the appropriate oral surgeon or periodontist so timing, recovery expectations, and orthodontic activation can be sequenced clearly.

3. Monitored Activation

After the procedure and appliance phase begin, progress checks are used to monitor response, guide activation, and determine when the case is ready for the next stage of alignment and finishing.

Dr. Yu portrait
Consultation

Determine the Right Adult Expansion Pathway

Adult treatment planning confirms whether tooth-borne expansion, MARPE, or a surgically assisted sequence is most appropriate based on your records, skeletal findings, and treatment goals.